犬歯部および臼歯部をインプラントで治した症例


- はじめの相談内容
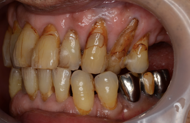
- 左上の奥歯がないのと、歯周病にて歯がグラグラするとのことでご来院されました。
- カウンセリング・診断結果
- 歯周病による著しい骨吸収を認めました。
- 治療内容
- 動揺が著しいため保存不可と診断し、抜歯後インプラント埋入しました。インプラントと骨が結合したのを確認後、仮歯を装着。仮歯を調製後、セラミックを装着しました。
- 治療期間
- 治療期間5ヶ月
- 費用
- 合計1,028,500円(税込)
検査料 5,500円
インプラント体:324,500円×2本
仮歯料金:11,000円
抜歯料金:2,200円×4本
投薬料金:2,200円
補綴料金:88,000円×4本
- 治療リスク
<歯周病菌への感染>
「インプラント周囲炎」というインプラントの歯周病菌への感染がよく知られています。毎日の歯磨きが不十分だったり、手術後にメンテナンスを受けていないと、歯垢や歯石が溜まってインプラントや周囲の粘膜で炎症を起こします。さらに、進行するとインプラントを支える顎の骨が溶けてしまうことから、しっかりとした予防が必要になります。<骨の厚みや高さの不足>
しっかりと固定されているはずのインプラントが抜け落ちてしまったり、骨を突き抜けてしまった、という症例があります。実はこれらの事例が起こる原因は、骨密度や骨量の不足にあります。骨の状態をしっかり把握せずに手術をしたことで、このようなトラブルが起きるのです。レントゲンやCTで撮影した画像をもとに正しく診断することで、インプラントのトラブルを事前に防ぐことができます。<見た目の問題が起こる>
埋入したインプラントでも見た目の問題が生じることがあります。特に前歯のインプラントは見た目の問題が起こりやすいといわれています。 歯が抜けて外的刺激を受けなくなると、その部分の骨は痩せていきます。インプラントを埋入後も、少しずつですが骨の量が減り、それに伴い歯肉も退縮することから、周囲の歯よりもインプラントの歯が長く見えてしまうことがあります。また、インプラント部分の歯肉が薄いと、金属の歯根部分が透けて見えることで黒っぽく見えてしまいます。<金属アレルギー>
インプラント治療では、骨に埋入するインプラント体(人工歯根)のほとんどが「チタン」という金属でできています。金属には、チタンをはじめとする金・銀・プラチナなどのアレルギーが起こりやすい金属と、ニッケル・コバルト・クロム・パラジウムなどのアレルギーが起こりにくい金属があります。 金属アレルギーは、金属が汗などに触れて溶け出してイオン化することで、体内に取り込まれてアレルゲンとなります。それに対して、チタンや金・銀・プラチナなどの金属はイオン溶出がないため、かゆみやかぶれなどのアレルギー反応がほとんど起こりません。どうしてもチタンによるアレルギーが気になるという方は、事前にパッチテストでアレルギーの有無が分かります。<インプラントと骨がうまく結合しない>
インプラントが骨と結合しないことで、インプラント手術が失敗してしまうリスクが考えられます。 骨粗しょう症などが原因でインプラントの周囲の骨密度が低いと結合しにくくなります。また、手術の際、ドリルの摩擦熱で骨がやけどを起こしたような状態になったり、術後にインプラントの周囲が細菌に感染してしまうと、インプラントと骨はうまく結合しません。特に、骨のやけどは手術中の適切なドリル操作や注水で防ぐことができることから、治療する側の技術力が求められるといえます。<糖尿病>
糖尿病にはインプラント治療を難しくする要因があります。血糖値が高い状態が続いていると傷が治りにくくなるため、インプラント手術をおすすめできないのです。また、高血糖の状態では免疫系細胞の活動が低下するため、歯周病菌への感染リスクが高くなります。 逆に、血糖値が安定すればインプラントの治療は可能なのです。そのため、糖尿病の患者さんがインプラント治療を受ける際は、お医者さんと歯科医師とで連携を図ることで、血糖値をしっかりとコントロールすることで、リスクはかなり低く抑えられます。
症例写真一覧






