前歯が出ているのを部分矯正で治した症例
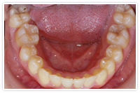
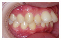
治療前

治療後

- はじめの相談内容
- 前歯が出ているのが気になるとのことでご来院されました。
- 治療内容
- 上下顎の前歯10本ずつの裏側に装置を装着し、歯と歯の間を少しずつ削合(ディスキング)して、スペースを確保しながら整列させました。
約7ヶ月で整列し、保定へ移行しました。
- 治療期間
- 治療期間7ヶ月
- 費用
- 合計787,600円(税込)
検査料 33,000円
装置料:660,000円
チェック料:8,800円×7
保定装置料:33,000円
- 治療リスク
<歯槽骨の減少、及び歯肉退縮>
歯を動かす事により、土台である顎の骨に負担がかかりますので、歯槽骨が少し減少することがあります。歯槽骨が減少すれば、それに伴い歯茎も痩せてくる場合がありますが、歯槽骨の厚みには個人差があり、殆どの場合には目に見えるような歯茎の退縮はないものですが、前歯の歯槽骨は薄いので歯茎が退縮することがあります。<歯根の吸収>
硬い骨の中で硬い歯を動かしていきますので、歯槽骨が吸収していくのと同じように、歯根にも僅かな吸収が生じる場合がありますが将来的に大きな問題が生じる場合は殆どありません。<歯髄切断による歯の変色>
矯正中、及び保定へ移行してからしばらくの間は歯が動揺します。前歯で移動量が大きな場合や、成人で加齢とともに歯髄が細い場合などには、歯髄切断が稀に生じることがあります。歯髄の切断が生じると変色や痛みを伴い、歯の神経の治療が必要となる場合がありますが抜歯することはありません。<骨性癒着(歯根癒着)>
転倒、事故などで何らかの外傷で脱離したり、脱臼した後に歯を戻した場合に起きやすく、歯根膜の損傷が主な原因と考えられています。その他、感染根管による長期的炎症にさらされた時にも起きます。歯根と歯槽骨が骨癒着している場合、矯正でその歯を動かす事が出来ません。部分的な骨性癒着は、事前にレントゲン等で判別するのは不可能であり、矯正中に気づく事が殆どです。その場合は、抜歯をして補綴治療やインプラントが必要になる場合があります。
症例写真一覧
治療前
01
治療中
02
治療後
03













